Wondering about getting an early pregnancy ultrasound?
Is it worth getting an early pregnancy ultrasound if I just found out that I’m pregnant? Yes!
Early pregnancy ultrasounds show pregnancy changes in your body and the sonographer will be able to establish an approximate date for your pregnancy. This is helpful:
- for women whose cycles are irregular
- for women whose cycles have been thrown off schedule by Plan B
- for women living in areas where abortion services are only available for a limited time
If you are unsure of your plans for the pregnancy (abortion, adoption, parenting) establishing a date for your pregnancy can be helpful. Abortion methods vary according to how far along the pregnancy is, so verifying those dates may help you research your options. If you would like support as you consider your options, schedule a consultation at our center.
What will I see on an early pregnancy ultrasound?
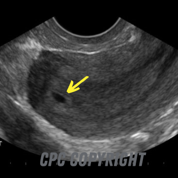
3 weeks after conception
3 weeks after conception (just one week after your missed period) you will see a small sac of fluid called the gestational sac. The sonographer will measure this and be able to tell you how far along you are in the pregnancy. The fetus (baby) at this point is too small to measure.


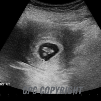
4 weeks after conception/6 weeks from your last period
4 weeks after conception the fetus (baby) will measure approximately 3 mm and will have a visibly beating heart. The heart beat can be measured by the ultrasound machine, and will produce an image showing wavy motion lines similar to an adult EKG.
30 days from conception/6 weeks from your last period
4 ½ weeks after conception: Baby grows rapidly for the next few weeks, and will be much easier to see mid-way through the 6th week. Here is a baby about 30 days after conception.


5 weeks after conception/ 7 weeks from your last period
5 weeks after conception you have a cute little “bean” with a heartbeat.
6 weeks after conception
6 weeks after conception, your baby will look like a teddy bear. Baby will have a distinct head and body with visible arm and leg buds.

Click on the Real Nurses widget. We have nurses available 24/7 to chat with you. This chat feature will be helpful if you do not live in Alaska and are wanting information for another location. If you live in Alaska, chat is available or if you prefer to call, we are available M-F 9AM-4PM. We also take walk-in clients and will help you as soon as we are able.